| Journal of Clinical Medicine Research, ISSN 1918-3003 print, 1918-3011 online, Open Access |
| Article copyright, the authors; Journal compilation copyright, J Clin Med Res and Elmer Press Inc |
| Journal website http://www.jocmr.org |
Case Report
Volume 4, Number 6, December 2012, pages 429-433
Overlapping of Primary Biliary Cirrhosis and Small Duct Primary Sclerosing Cholangitis: First Case Report
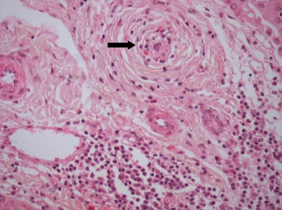
Figures



Table
| 29/04/04 | 28/05/04 | 05/06/06 | 31/08/06 | 31/08/06 | |
|---|---|---|---|---|---|
| HBsAg, hepatitis B surface antigen; Anti-HBc, antibody against core antigen of hepatitis B virus; anti-HCV, antibody against hepatitis C virus; ANA: anti-nuclear antibody; SMA: Smooth muscle antibodies; Anti-LKM: Liver-kidney microsomal antibodies; Anti-SLA/LP: Antibodies against soluble liver antigen/liver pancreas; pANCA: Perinuclear antineutrophil cytoplasmic antibodies. AMA M2: Antibodies to mitochondrial E2-pyruvate dehydrogenase; Anti-Sp100: Antibodies to Sp100; Anti-gp210: Antibodies to gp210. | |||||
| AST (UI/mL) | 98 (45) | 79( 45) | 42 (45) | 116 (45) | 26 (45) |
| ALT (UI/mL) | 125 (35) | 68 (35) | 38 (35) | 167 (35) | 14 (35) |
| GGT (UI/mL) | 227 (48) | 249 (48) | 408 (38) | 383 (38) | 12 (38) |
| AP (UI/mL) | 472 (147) | 211 (147) | 468 (147) | 83 (147) | |
| Total Bilirub (mg/dL) | 0.41 | 0.59 | |||
| Dir. Bilirub (mg/dL) | 0.06 | 0.17 | |||
| INR | 1.0 | ||||
| Albumin (g/L) | 4.5 | 4.3 | |||
| Gamma-glob (g/L) | 1.6 | ||||
| Total cholesterol (mg/dL) | 177 | ||||
| HDL -C (mg/dL) | 52 | ||||
| Triglycerides (mg/dL) | 116 | ||||
| IgM (mg/dL) | 183 | ||||
| IgG (mg/dL) | 1460 | ||||
| HBsAg | Neg | ||||
| Anti-HBc | Neg | ||||
| anti-HCV | Neg | ||||
| ANA | Pos | ||||
| anti-SMA | Neg | ||||
| anti-LKM-1 | Neg | ||||
| anti-SLA | Neg | ||||
| p-ANCA | Neg | ||||
| AMA M2 | Pos | ||||
| Anti-Sp100 | Pos | ||||
| Anti-gp210 | Pos | ||||